RTG stomatologiczne i tomografia CBCT od 100 zł – Świętochłowice
Jeśli czeka Cię leczenie stomatologiczne, planujesz implanty, aparat ortodontyczny lub po prostu chcesz sprawdzić stan zębów — w naszej pracowni wykonasz wszystkie niezbędne zdjęcia szybko, bez stresu i w komfortowych warunkach.
Znajdziesz nas w Świętochłowicach, ul. Sikorskiego 1.
Nowoczesna diagnostyka w przyjaznym otoczeniu
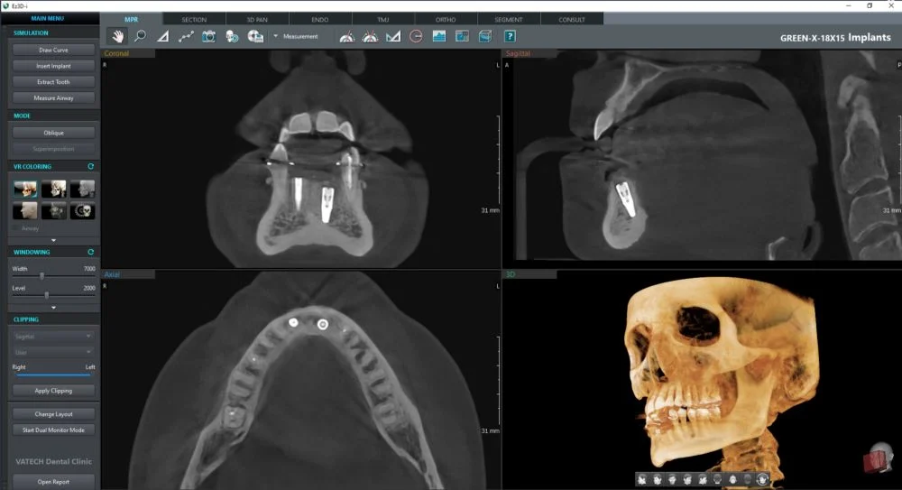
W naszej pracowni korzystamy z najnowszego tomografu Vatech Green X (2025). To aparat, który daje bardzo dokładny obraz, a jednocześnie wykorzystuje niską dawkę promieniowania — dlatego jest bezpieczny także dla dzieci i osób, które muszą wykonywać badania częściej.
Zdjęcia można wykonać zarówno na stojąco, jak i siedząco, co ułatwia diagnostykę osobom starszym, z bólem kręgosłupa lub poruszającym się na wózku.
Co nas wyróżnia?
- wyraźne obrazy 2D i 3D — pomocne przy implantach, ósemkach, leczeniu kanałowym i ortodoncji
- szybkie skanowanie CBCT — już od 2,9 sekundy
- opcje AI, które poprawiają jakość zdjęć i redukują zakłócenia
- precyzyjny tryb Endo do diagnostyki kanałów zębowych
- szybkie terminy oraz krótki czas oczekiwania na opis radiologa
- badania wykonuje dyplomowana elektroradiolog, lic. Zuzanna Ziółkowska
- wynik otrzymujesz na płycie CD — gotowy do otwarcia w każdym gabinecie
RTG i CBCT – co warto wiedzieć?
Do wykonania zdjęć stomatologicznych wymagane jest skierowanie.
Jeśli go nie masz — możesz umówić krótką konsultację u naszego dentysty i wykonać wszystko podczas jednej wizyty.
Przed badaniem wystarczy zdjąć biżuterię i piercing z głowy oraz szyi.
W przypadku dzieci prosimy o zabranie książeczki zdrowia.
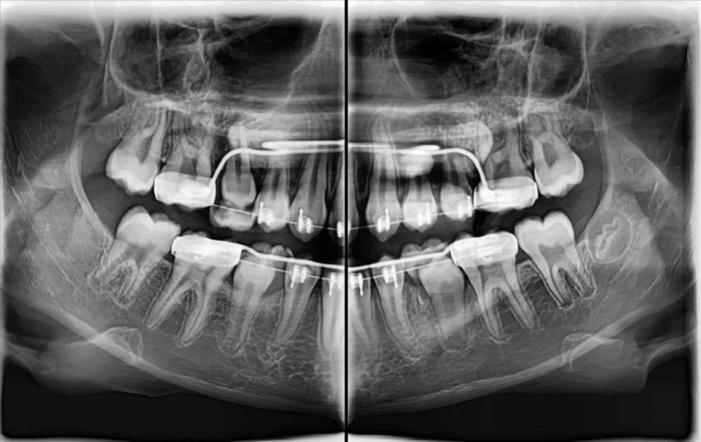
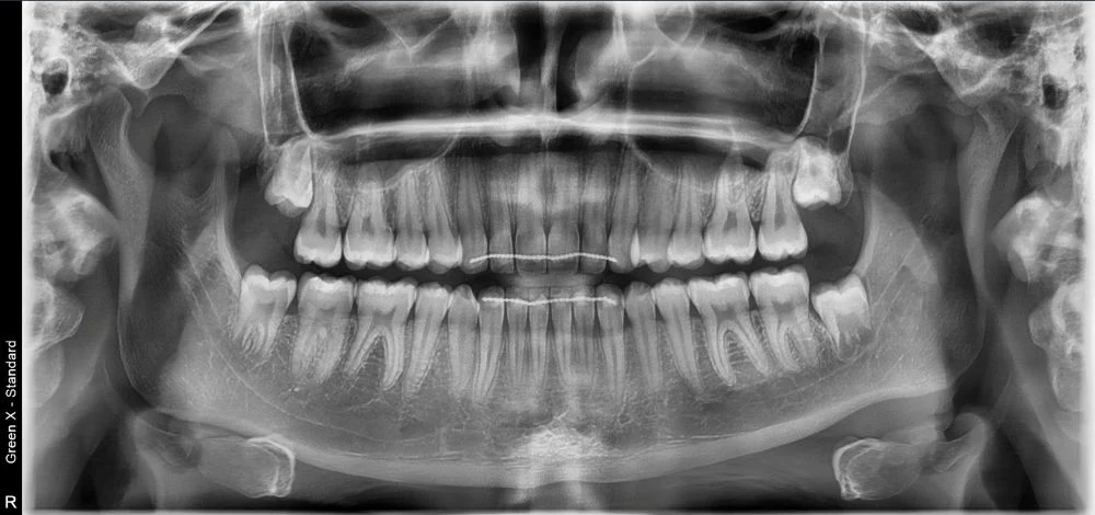
Dlaczego warto wykonać zdjęcie panoramiczne?
Pantomogram pokazuje cały stan uzębienia i kości — dzięki temu można wykryć zmiany, których nie widać na małym zdjęciu punktowym (jak torbiele, stany zapalne czy problemy ze stawami). To proste badanie, które warto wykonać profilaktycznie co kilka lat.
CBCT – pełniejszy obraz, dokładniejsza diagnoza
Tomografia CBCT tworzy trójwymiarowy obraz zębów, kości, zatok i stawów.
Pozwala na precyzyjne planowanie:
- implantów,
- usuwania ósemek,
- leczenia kanałowego,
- aparatów ortodontycznych,
- diagnostyki bólu zatok i stawu skroniowo-żuchwowego.
Badanie jest szybkie, bezbolesne i nie wymaga żadnego przygotowania.
Wygoda dla pacjentów
- szybkie terminy
- łatwy dojazd i parking pod samym budynkiem
- możliwość wykonania zdjęć i konsultacji stomatologicznej w tym samym dniu
- przyjazna atmosfera — dbamy o komfort dzieci i dorosłych
- oferujemy pojedyncze badania i pakiety
- w naszej pracowni wykonasz pełny zakres badań RTG i tomografii CBCT — od wycinków łuku, przez zatoki i stawy skroniowo-żuchwowe, aż po zdjęcia panoramiczne
Umów badanie już dziś
RTG stomatologiczne i CBCT od 100 zł – Świętochłowice, Sikorskiego 1
510 809 408
Rejestracja online: https://tiny.pl/4fj07myf










