RTG i tomografia CBCT od 100 zł – Świętochłowice
Nie musisz jechać daleko, by zrobić dokładne badanie RTG lub tomografię CBCT.
W naszej nowoczesnej pracowni w Świętochłowicach przy ulicy Sikorskiego 1 wykonasz bezpieczne, precyzyjne zdjęcia zębów i zatok – szybko, komfortowo i w przystępnej cenie.
Gdzie dokładnie jesteśmy?
Centrum Medyczne Severux
ul. Sikorskiego 1, Świętochłowice – bezpośrednio przy zjeździe z Drogowej Trasy Średnicowej
kontakt z Rejestracją: tel. 510 809 408, e-mail: [email protected]
Nowoczesny sprzęt– precyzja i bezpieczeństwo
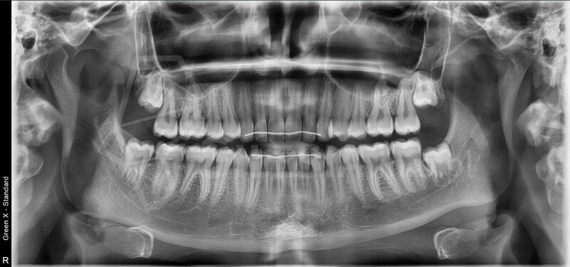
Pracownia wyposażona jest w tomograf stożkowy Vatech Green X (model 2025) – najnowszej generacji urządzenie, które łączy najwyższą jakość obrazów 2D i 3D z minimalną dawkąpromieniowania.
Badania są w pełni bezpieczne także dla dzieci i osób, które muszą wykonywać je regularnie.
Skanowanie trwa zaledwie 2,9 sekundy, a technologia AI automatycznie redukuje zakłócenia i poprawia ostrość zdjęć.
Specjalny tryb Endo pozwala uzyskać obraz kanałów zębowych w najwyższej rozdzielczości – idealny w diagnostyce endodontycznej.
CBCT i pantomogram –co warto wiedzieć?
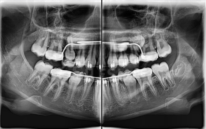
CBCT (tomografia stożkowa) to nowoczesne badanie 3D, które pokazuje zęby, kości, zatoki i stawy skroniowo-żuchwowe w pełnym trójwymiarze. Umożliwia bardzo dokładne zaplanowanie leczenia chirurgicznego, ortodontycznego, implantologicznego i laryngologicznego.
Zdjęcie panoramiczne (pantomogram) obejmuje całe uzębienie i szczęki, pokazując zmiany, których nie widać na zdjęciach punktowych RTG – takie jak torbiele, guzy, stany zapalne czy zwyrodnienia stawów.
To podstawowe badanie profilaktyczne, które warto wykonywać regularnie – przynajmniej raz na dwa lata.
Co trzeba wiedzieć przed wizytą?
Do wykonania RTG i CBCT wymagane jest skierowanie (zgodnie z przepisami).
• Pacjenci naszej placówki otrzymują je od dentysty na miejscu.
• Pacjenci z zewnątrz mogą uzyskać skierowanie podczas krótkiej konsultacji stomatologicznej.Przed badaniem należy zdjąć biżuterię, kolczyki i piercing z okolic głowy oraz szyi.
Dzieci powinny mieć przy sobie książeczkę zdrowia.
Wynik badania przekazywany jest na płycie CD (do odtworzenia w każdym gabinecie) lub mailowo w formie cyfrowej.
Co nas wyróżnia?
Najnowocześniejszy tomograf stożkowy w regionie – Vatech Green X (model 2025).
Współpraca z 16 radiologami – szybki opis badań.
Możliwość połączenia konsultacji stomatologicznej z badaniem RTG/CBCT podczas jednej wizyty.
Badania także w pozycji siedzącej – pełna dostępność dla osób z niepełnosprawnościami.
Komfortowa lokalizacja z parkingiem i łatwym dojazdem komunikacją miejską.
Badania wykonuje dyplomowana elektroradiolog lic. Zuzanna Ziółkowska.
Ceny już od 100 zł.
Nie tylko stomatologia
Wykonujemy również badania zatok szczękowych i stawów skroniowo-żuchwowych – przydatne nie tylko w stomatologii, ale też w diagnostyce laryngologicznej i chirurgicznej.
Najczęstsze pytania pacjentów (FAQ)
1. Czy badanie CBCT lub RTG jest bezpieczne?
Tak. Nasz tomograf emituje znacznie mniejszą dawkę promieniowania niż starsze urządzenia, dlatego badania są bezpieczne także dla dzieci i osób wymagających regularnych kontroli.
2. Czy potrzebuję skierowania?
Tak, zgodnie z przepisami. Jeśli nie masz skierowania, możesz uzyskać je podczas krótkiej konsultacji z naszym dentystą.
3. Jak wygląda badanie CBCT?
To szybkie i bezbolesne badanie – pacjent staje lub siada w aparacie, a głowica wykonuje jeden obrót wokół głowy. Skan trwa zaledwie kilka sekund.
4. Ile trwa cała wizyta i kiedy dostanę wynik?
Cała wizyta zajmuje około 10–15 minut. Obraz otrzymasz od razu po badaniu, a opis radiologa zwykle w ciągu 1–2 dni roboczych.
5. Czy mogę zrobić badanie i wizytę u dentysty w tym samym dniu?
Tak, istnieje możliwość umówienia badania radiologicznego i konsultacji stomatologicznej za jednym razem. To wygodne rozwiązanie, które oszczędza czas i pozwala od razu rozpocząć leczenie.
Postaw na nowoczesną, bezpieczną diagnostykę obrazową.
RTG stomatologiczne i tomografia CBCT w Świętochłowicach – już od 100 zł.
Rejestracja telefoniczna: 510 809 408
Rejestracja online i pełna oferta badań: https://severux.pl/uslugi/stomatologia/
